「痛み」へ完全な配慮
~短期集中治療にも対応~
- 睡眠無痛治療
- 2STEP麻酔法
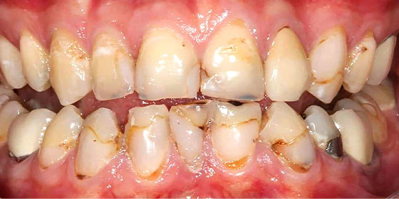
「歯科恐怖症」の方、
「嘔吐反射」が強い方でも
大丈夫です
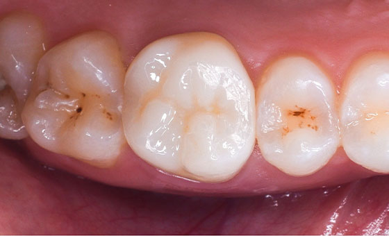
※包括治療をしたケース。
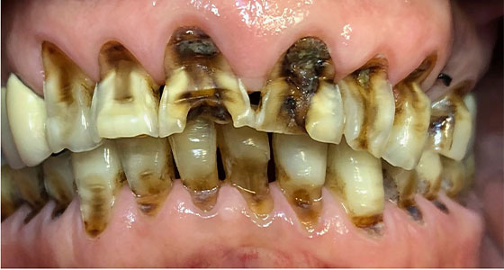
「歯科恐怖症」の方、
「嘔吐反射」が強い方でも
大丈夫です














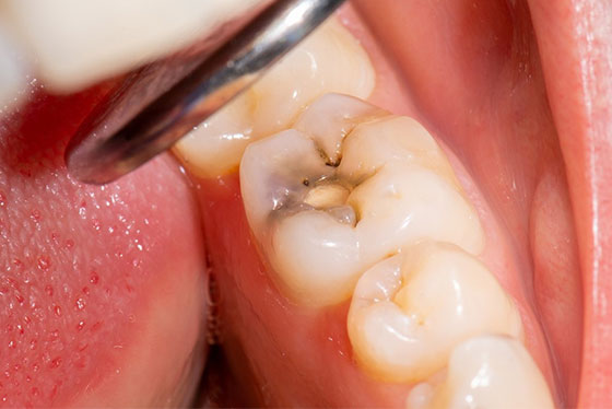
※包括治療をしたケース。
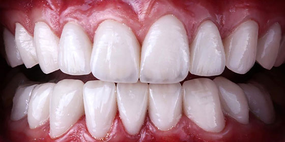
当院では、以前から、虫歯で歯がボロボロの方が多く来院されています。当院での治療に満足され、今では口コミで県外からも来院されます。
なぜ、多くの方が来院されるのか?
それは、「歯がボロボロになった方」と「そうではない方」の対応の仕方が異なることをよく理解しているためです。
もちろん、どの患者さんであっても、しっかりお話を伺い、納得されるまで説明しますし、可能な限り不快感を軽減させることも行います。
しかし、歯がボロボロになってしまった方は、何かの理由で「歯医者から足が遠のいてしまった方」が大多数です。
例えば、
そのため、当院ではすぐに治療を開始せず、まずは患者さんと様々なお話をします。
また、「こうしたい、こうしたくない」ということも事前にしっかり伺います。

虫歯の状態を放置していても、よいことは何1つありません。
歯だけでなく、身体の健康にも影響を与えます。
一度、私たちを信頼し、当院を感じにきてください。
どのような方であっても「治療時の痛み」は嫌なものです。
しかし、その痛みを軽減させる方法、もしくは痛みや不快感なく治療を終えられる方法があります。それぞれご紹介します。

医科ではよく利用されているのですが、歯科ではまだ多くは普及していない睡眠無痛治療(静脈内鎮静法)を当院では行っています。鎮静薬を点滴を通して注入することで次のような効果を得られます。
ほとんどの方が「気づいた時には治療が終わっていた。なんの恐怖心やストレスなく治療ができた」とおっしゃいます。そのため、歯科恐怖症の方や嘔吐反射が強い方にはとても喜ばれている方法になります。
また、当法人には「日本歯科麻酔科学会 認定医」も在籍しているので、安心して治療に臨んでいただけます。
注射する部位に表面麻酔をすることで注射時の痛みを軽減させます。
麻酔液の注入スピードが速いと痛みの原因となるため、一定の速度で注入する電動麻酔注射を利用します。先ほどご説明した「睡眠無痛治療」までは不要とお考えの方は、2STEP法で対応します。この方法を採用している医院もありますが、同じ方法であっても「しっかり時間をかけて」行わないと痛みが生じてしまいます。当院ではじっくりと麻酔を効かせていきますので、ご安心ください。
上記の他にも注射時の痛みを軽減させるため次のようなことも行っています。
注射時の針が細ければ細いほど痛みは軽減されます。
当院では医療機関が購入できる針の中でも一番細い針を利用しています。
麻酔液を「体温」と同じ温度まで温めることで、痛みを軽減することができます。そこで麻酔液を注入するぎりぎりまで、温める装置に保管しています。

歯医者嫌いの方にとっては「歯医者の空間」に行くだけでもストレスになる方もいます。また、お仕事や子育てで忙しく、できれば来院回数を少なくしたいというご要望もあります。
そのような方のために「短期集中治療」を実施しています。以下、ご紹介します。
来院回数を少なくするため、当院が取り組んでいることは、「1回の治療時間を長くとること」「歯科技工士との密な連携」となります。
治療計画を立案し、最初の段階で治療の流れが分かることで、「この工程とこの工程は1回で行える」などの計画を立てることができます。通常は数回に分けて行う工程でも、1回の来院で完了させることができ、最終的な来院回数を減らすことができます。
被せ物等は歯科技工士が作成するのですが、その技工士と担当医が密な連携をとることで、被せ物の製作期間が短縮され、結果、全体的な治療期間を短縮できます。

最後になりますが、当院の基本方針は「可能な限り歯を残す」ことです。
もちろん、ケースによっては抜歯しなければならないこともありますが、患者さんのご要望を伺いながら、まずは残す方向で考えていきます。
具体的には次のような方法があります。
どれも通常は「抜歯」と宣告されることが多いケースです。
通常、抜歯と言われてしまう歯であっても、歯の根を上に引き出し、被せ物の土台にすることで抜歯せずに治療ができるケースがあります。
これをエクストリュージョン法と言います。



専門的になってしまいますので、詳細は割愛しますが、MTAセメントを利用することで、歯の神経を除去せずに治療できるケースがあります。

当院では、患者さんが抱えていらっしゃるお口のお悩みや疑問・不安などにお応えする機会を設けております。どんなことでも構いませんので、私たちにお話ししていただけたらと思います。
ご興味がある方は下記からお問い合わせください。
